
- 子どもの小児矯正ご案内
- お子さまの歯並び気になりませんか?子どもの小児矯正ご案内はこちらです。

- インビザラインのご案内
- 矯正治療中も目立たない・取り外し可能なメリットの多いマウスピース矯正です。
- necessary
- 矯正治療はなぜ必要?

- 心身ともに健康な生活は、正しい噛み合わせと日々の溢れる笑顔から始まります!
- 歯並びが悪いことは、噛み合わせも悪いということになります。噛み合わせは全身の健康に大きな影響を与えます。それは肉体的なものばかりでなく、精神的にも大きな負担となります。歯並びを改善する矯正歯科は、病気を直すと同じように歯の正常な咀嚼機能を取り戻し、健康的な体と心をつくるための歯科治療です。矯正治療で健全な咀嚼器官と共に、健康美あふれる笑顔も手に入れることができます。
- mind
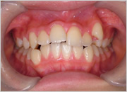
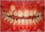
- このような歯並び
気になりませんか?
- 八重歯

- オープンバイト

- 上顎前突

- 下顎前突

- merit&demerit
- 矯正治療の
メリット・デメリット

- 歯並びが綺麗になる
歯並びの見た目が改善されるので生活に自然と笑顔が増えます。大きく口をあけるコンプレックスが改善され日々の生活が大きく変わります。

- 虫歯や歯周病のリスクが減る
歯並びが改善されると、日々の歯磨きが効果的なものになり、食べ残しや歯垢が溜まりにくい健康的な口腔内になります。

- 噛み合わせが良くなる
噛み合わせが良くなることは、日々の食事をしっかり咀嚼する事ができ、健康的に栄養を摂ることに繋がります。

- お口が清潔になり口臭予防にも
歯並び改善で、日々の歯磨きが効果的なものになります。お口の中を清潔な状態に保ちやすく、口臭の軽減に繋がります。

- 歯を大切にする習慣ができる
矯正治療が完了すると、歯に対しての意識が強まり、歯科検診やクリーニングを定期的に受診したりと歯を大切にする意識が芽生えます。

- 滑舌や発声が改善される
歯並びの改善は、発音や滑舌にも良い影響を与えます。聞き取りやすい声で話す事ができ、円滑なコミュニケーションが可能になります。
- デメリット
- ●自由診療なので費用が高額になる
- ●矯正治療中は始め、装着する装置によって違和感や食べにくさがある
- ●治療期間が長い
- ●矯正治療中は装置の影響で虫歯や歯周病になりやすくお手入れが大変
- flow
- 矯正治療の流れ

- 初診矯正相談
問診や視診をしながら診察を行います。矯正歯科の専門医が相談から治療まで一貫して行います。矯正治療についての不明点など何でもお聞かせください。矯正治療を開始する場合には精密検査を実施します。


- 精密検査
歯の写真、顔の写真、歯のレントゲン写真、頭部のレントゲン写真、歯列の模型などの治療計画に必要な資料をとります。症状により顎関節のレントゲン写真や顎運動の検査もします。


- 矯正歯科診断
精密検査の結果をもとに、不正咬合の診断と治療計画・治療方法ならびに治療期間、矯正歯科料金について丁寧にご説明させて頂きます。


- 矯正治療のスタート
精密検査・診断の結果を患者さまにお伝えし、ご納得いただけましたら矯正治療がスタートします。矯正治療中は1~3ヶ月の頻度でご来院頂きます。矯正治療は、動的治療と静的治療(保定)の二段階に分かれており、歯が動くのが完了すると保定期間になります。
- case
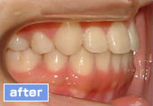
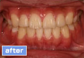
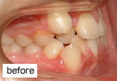
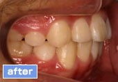
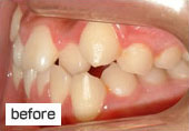
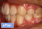
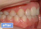
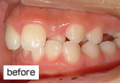
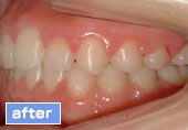
- 矯正症例の紹介



| 治療前 | 受け口で八重歯と下顎の歯のガタガタが軽度にありました。 |
|---|---|
| 治療内容 | 上下顎の第一小臼歯を抜歯。八重歯やガタガタを正しい位置に配列し、前歯の受け口を改善しました。 |
| 副作用・リスクなど | 下顎の成長は上顎よりも後にあるので、下顎の成長によっては顎手術の適応になる場合や治療期間が延びる可能性があります。 |
| 通院回数 | 1~1.5カ月に1回 |
| 治療期間 | 2年半で動的治療は完了 |
| 費用 | 約60~80万円 |



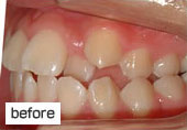
| 治療前 | 顎の大きさが歯に対して小さいので、歯列が凸凹になっていました。 |
|---|---|
| 治療内容 | 顎を広げて歯が並ぶ隙間を作り、歯を抜かずに治療しました。 |
| 副作用・リスクなど | ガタガタの量や顎の大きさによっては歯を抜かずに治療できない場合や、歯を抜かず無理に並べた場合は前歯が前方に突出することがあります。 |
| 通院回数 | 1~1.5カ月に1回 |
| 治療期間 | 2年で動的治療は完了 |
| 費用 | 約60~80万円 |



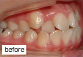
| 治療前 | 顎の大きさが歯に対してかなり小さいため、歯列が凸凹で八重歯になり、前から2番目の歯は内側に入っていました。 |
|---|---|
| 治療内容 | 顎と歯の大きさの不調和が著しいため、犬歯の後ろの第一小臼歯を抜歯。八重歯を正しい位置に移動させ、内側に入っている歯の隙間を作り、歯を配列しました。 |
| 副作用・リスクなど | 歯を抜かない治療より時間がかかる可能性があります。 |
| 通院回数 | 1~1.5カ月に1回 |
| 治療期間 | 2年半で動的治療は完了 |
| 費用 | 約60~80万円 |



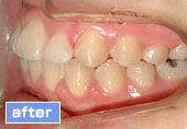
| 治療前 | 顎に対して歯が小さいため、全体的に隙間があり、上顎の前歯が1本内側に入っていました。 |
|---|---|
| 治療内容 | 歯を配列する隙間は十分にあったので、歯を抜かずに配列し、内側に入っていた歯は矯正装置で正しい位置に移動させました。 |
| 副作用・リスクなど | 隙間がもともとあった歯列は後戻りで再度空いてきやすいので、治療後に歯の裏側に細いワイヤーで固定する場合があります。 |
| 通院回数 | 1~1.5カ月に1回 |
| 治療期間 | 2年で動的治療は完了 |
| 費用 | 約60~80万円 |
- caution
- 矯正治療を行うにあたって
- 1.
- 矯正期間中に虫歯、歯周疾患が発症もしくは悪化した場合や、補綴物による治療及び改善が必要となった場合、矯正治療を中断し必要な治療を受けて頂くことがあります。
- 2.
- 矯正治療に伴い歯根の吸収が生じることがあり、それに伴い場合によっては、歯髄(歯の神経)が失活することがあります。そのときは矯正治療を終了し、必要に応じて処置を受けて頂くことがあります。
- 3.
- 矯正治療中、歯と歯槽骨との癒着が判明した場合、必要に応じて補綴処置または外科処置を受けて頂くことがあります。
- 4.
- 治療期間中に顎関節症が発現した場合、矯正治療を一時中断もしくは終了し、顎関節の治療を受けて頂くことがあります。
- 5.
- 年齢や体質、歯の形態、歯の移動量により、歯と歯ぐきの間に空隙(ブラックトライアングノのが生じたり、歯肉が退縮する場合があります。
- 6.
- 矯正治療に用いる装置や材料に対し、アレルギーがあると判明した場合は矯正治療を中断することがあります。
- 7.
- 顎の成長、悪習癖、患者様の協力不足、環境の変化など、予測出来ない条件により使用装置、抜歯の本数、外科手術、治療期間など治療内容の変更、もしくは中断することがあります。
- 8.
- 歯の移動は阻嶋機能や形態上の理由で制限を受けることがあります。治療目標の設定及び治療終了については歯科医師の判断に委ねてもらう必要があります。
- 9.
- 治療終了後、明嘱筋や舌の機能・習癖により、若干の歯の移動があります。また、治療後は保定装置を指定した期間装着して頂き、歯の移動を防ぐ必要があります。
- 10.
- 治療期間は、体質や患者様のご協力状況(歯面清掃を含む)により変化する場合があります。予めご了承下さい。
- consultation
- 矯正相談を実施中
- 矯正歯科専門医による相談を
受付中 - 矯正治療に興味があるけど不明点が多い、自分がどのような方法で矯正治療が可能か知りたいなど、
まずはご相談にお越しください!
- このようなお悩み、矯正医に相談しましょう!
- ●矯正治療に必要な費用や期間を知りたい
- ●自分がどのような装置で矯正治療が可能か知りたい
- ●矯正治療についての疑問点や不明点を矯正歯科の専門医から話を聞きたい
- ●矯正治療中の注意点を知りたい など










































