- visit dental
- 訪問歯科診療とは?

- このような
病状ありませんか?
要介護の高齢者では、歯科医院に通院したくても出来ない方がたくさんいらっしゃいます。
当院では、そんな患者様のご要望にお応えするために、ご自宅や施設に伺い、歯科治療や口腔ケアを行っています。歯科医院で行うほとんど全ての治療がご自宅や施設でうけることが可能です。
- おもな訪問歯科治療の内容
- 虫歯・歯周病の予防、治療
- 入れ歯の作製、修理、調整
- 口腔ケアで感染症予防
- 誤嚥性肺炎の予防
- 摂食嚥下障害のリハビリテーション
- など、お口や歯のお悩み何でもご相談ください。
- care
- 口腔ケアとは

- 口腔ケアは、口腔に関わる生理・機能・審美の改善保持を通して、全身の健康の維持増進を計るためのトータルケアとされており、口腔疾患の予防のみならず、誤嚥性肺炎の予防や、栄養状態の維持改善など、全身の健康維持に欠かせないケアです。口腔ケアを必要としている人は、身体機能の低下に加え、多くの場合摂食・嚥下障害など何らかの口腔機能の低下がみられ、器質面だけでなく機能面からのケアが欠かせません。
口腔ケアは、口腔内の歯や粘膜、舌などの汚れを取り除く器質的口腔ケアと口腔機能の維持・回復を目的とした機能的口腔ケアから成り立っており、このつが、うまく組み合わされることで、口腔ケアの効果がさらに高まります。
- 口腔ケアの目的
- むし歯、歯周病の予防
- 口臭の予防
- 味覚の改善
- 唾液分泌の促進
- 誤嚥性肺炎の予防
- 会話などコミュニケーションの改善
- 生活のリズムを整える
- 口腔機能の維持・回復につながる
- ●口腔清掃の自立度低下
- ●口渇・味覚異常
- ●摂食困難
- ●認知機能の低下
- ●生活機能の低下・要介護状態

- ●歯科治療
- ●器質的口腔ケア
- ●機能的口腔ケア

- ●食べる意欲の改善
- ●栄養状態の改善
- ●認知機能の維持・回復(痴ほう予防)
- ●誤嚥性肺炎のリスク回避

意欲の向上
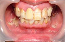
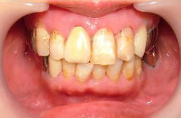
口腔ケアの症例

- 口腔ケア前


- 口腔ケア後

- 要介護高齢者によくみられる義歯の汚れ
しかし、口の中が汚れていると防御機能がうまく働きません。口腔ケアは口の中をきれいにして唾液が良く出るようにしたり、口の中に入ったインフルエンザウイルスや風邪の細菌を洗い流せるという効果があります。
- pneumonia
- 誤嚥性肺炎とは



- 体力が低下しているときや、薬や病気などによって嚥下の機能が落ちている場合、誤って気道(気管)に食べ物や唾液、水分が入り込んでしまう可能性が大きくなります。口の中に食べ物のカスが長く残っている場合、雑菌が繁殖し、それが気道(気管)に入り込み、肺まで達し炎症を起こすと、『誤嚥性肺炎』となるのです。
誤嚥性肺炎は、寝たきりの方・高齢者の方などが発生しやすくなっています。 私たちの普段の生活の中で、水を飲んでいて、急にむせて苦しいことがありませんか?それは、誤嚥し、気道(気管)に水分が落ちたために起こります。 健康な体では咳などでそれを排除することができますが、体力が落ちている場合は危険な状態になるのです。
つまり、口腔内の機能低下を防止することが大切になるのです。
※食の介護、寝たきりの方を介護するにあたっても、口の中に物が残っていないか確認することと、口の中を綺麗にしてあげることが、誤嚥性肺炎を防止することにつながります。
- 口腔ケアでの肺炎予防

実際に口腔ケアを実施した人と、口腔ケアを実施しなかった人を比べると
肺炎の発生率はおよそ40%減少させる効果があります。
- flow
- 訪問歯科診療の流れ
- 1.
- 経験豊富な専門スタッフが対応

経験豊かな「歯科医師」「歯科衛生士」「ケアトリートメントコーディネーター」がチームを組むことで、迅速かつ丁寧な診療を提供させていただいております。
- 2.
- 通院するのと同じ治療がご自宅で受けられます

通院が困難な方のご自宅や施設・病院へお伺いして、治療をおこなっています。「歯周病」「むし歯」の治療などほぼ同内容の診療が可能です。もちろん、衛生面も万全です。
- 3.
- 患者様に適した治療をおこなっています

ご都合のよい時間帯や費用面のご相談など、患者様に適した形の治療・診療をおこなっております。お気軽にご相談ください。
- 4.
- 治療計画書をつくり、治療内容を明確に

まず、歯科医師・歯科衛生士がお伺いして、無料でお口の診療をおこなっています。その上で、治療内容・期間・費用を明記した治療計画書をお渡ししております。
- 5.
- 治療+αのケア

治療はもちろん、お口の健康を保つためのアドバイスなど、快適な生活を送っていただくための幅広いお口の健康サポートをしています。
- 6.
- 訪問診療はすべて保険適応

出張費・謝礼など一切いただきませんので、ご安心してお問い合わせください。保険証だけご提示ください。
- subject
- 訪問歯科診療対象の方
- 歯科医院への通院が困難な方
- ●高齢者の方や体が不自由な方
- ●寝たきりの方
- ●障害をお持ちの方、など
- 施設にご入所・ご入院されている方
- ●介護施設
- ●老人ホーム
- ●病院、など
- ご担当者の患者様がお口のお悩みをお持ちの方
- ●施設や病院の方
- ●ケアマネージャー
- 口腔ケアは十分できてますか?
- 「口腔ケア」とは、むし歯や歯周病、口臭などの原因となる歯垢や歯石、食べかすなどを取り除いて、お口の中を清潔に保ち、病気を積極的に予防するために行うケアです。
また、生活のリズムを作り、食べることや話すことをサポートし、生活の質(QOL)を向上させるという目的もあります。けれども、食事や排泄の世話はこまめにしても、歯みがきは本人任せや後回しという介護者は案外多いようです。
口の中はプライベートゾーンであり、他人はなかなかのぞきにくい場所ですが、口臭が強い、食が細くなった、よく熱を出すなどの症状がある場合は、口腔ケアが不十分な可能性があるので、見直してみましょう。毎日の口腔ケアの積み重ねが、お口と全身の健康につながります。
- hindrance
- 摂食嚥下障害について
- このような症状はありませんか?
- 食事中によくむせる
- 飲み込んだ後も、口の中に食べ物が残っている
- 食事の後、がらがら声になる
- 食べるとすぐ疲れて、全部食べられない
- 体重が徐々に減ってきた
- 発熱を繰り返す
- 夜間、咳込むことがある
- まれに息苦しくなる
- 美味しく安全にお食事ができていますか?食べづらい、飲み込みづらい、お悩みの方へ
なかたに歯科クリニックでは要介護者のための訪問歯科診療の一環として、摂食・嚥下障害でお困りの患者様のための診療を行っています。摂食・嚥下障害を持つ患者様は、窒息や誤嚥の危険性があります。特に誤嚥に関しては、お年寄りの肺炎の多くが、誤嚥性肺炎であることが知られています。

- 摂食嚥下障害とは?
摂食・嚥下(せっしょく・えんげ)は、食物を口に入れ、噛んで飲み込み、胃に至るまでの一連の過程のことを指し、これらの機能が損なわれることを摂食嚥下障害といいます。脳卒中や認知症などの病気、老化によって嚥下障害が起こると誤嚥性肺炎の原因となるばかりか、食べられないことや水分・塩分の不足によって栄養失調や脱水症状を引き起こしたり、食べ物が誤って気道に入り窒息する危険も高まります。また、食べるという人間らしい楽しみが失われ、生きる気力が次第に低下していく危険もはらんでいます。
- inspection
- 嚥下内視鏡検査とは

- 嚥下内視鏡検査(VE)とは、専門医が、鼻から約3mmの内視鏡(カメラ)を挿入し検査を行います。所要時間は5分から10分です。鼻から内視鏡を入れた状態で、食物を口から食べて頂き、食物の咬みぐあいや混ぜぐあい、飲み込みの様子を観察します。この検査によって、口の中から喉に流れてくる食品の様子を実際に見ることができ、よりよい食事形態や、摂食機能向上のアドバイスが可能になります。
- うまく食べ物を飲み込めないと、下記のような危険があります。
- 窒息
- 脱水
- 低栄養
- 誤嚥生肺炎
- 実際に食事をして頂き、食塊形成(食べ物を噛み砕き、唾液と混ざり合わされることにより飲み込みやすい形態にすること)の様子を画像で確認できます。この検査結果をもとに、食べやすい食事形態への変更のアドバイスができます。
- 食塊形成良好

- まとまっている
- こなれている
- どろどろ

飲み込みやすい
- 食塊形成不良

- まとまっていない
- こなれていない
- ばらばら

飲み込みにくい

- 泡状に見えるのが唾液です

- 栄養チューブの周りに痰がついています
- team
- なかたに歯科クリニック
食支援チーム

- 口から食べるという動作は、消化器だけでなく、視覚、味覚、嗅覚などの五感を刺激し、各部の筋肉など多くの身体機能を使うため、全身によい影響を与えます。
しかし、体力が低下しているときや、薬や病気などによって嚥下の機能が落ちている場合、あやまって気道(気管)に入ってしまい、誤嚥性肺炎を引き起こす可能性が高くなります。誤嚥性肺炎の予防には免疫力を高める、口腔ケアにて細菌の数を減らすなどありますが、食べやすい姿勢、食べやすい食形態にすることも非常に大事になってきます。
当院では内視鏡を用いて摂食嚥下機能をチェックし、今現在、どのくらい物を噛めているのか、しっかり飲み込めているのかを確認し、嚥下機能にあったアドバイスをさせて頂きます。誤嚥性肺炎を防ぎつつ、いつまでもお口から食事がとれるように、必要な嚥下機能評価、お口のリハビリを続けていきましょう。
ご希望の方は、当院の担当医、もしくは歯科衛生士までお声かけください。
- recruit
- 訪問歯科診療の求人情報

- 訪問歯科診療で一緒に働く歯科医師・歯科衛生士・歯科助手・管理栄養士を募集しています!
なかたに歯科クリニック訪問部では、一緒に訪問歯科診療を盛り上げて頂けるスタッフを定期的に求人募集しています。訪問歯科診療の経験がなくても大丈夫です。先輩スタッフが丁寧にサポートさせて頂きます。長く働きやすい環境と、柔軟に対応可能な勤務形態が魅力です。一般外来での経験しかない方でもお気軽に問い合わせください。


















