











インビザラインは永久歯が生え揃った成人矯正はもちろん、
子供の矯正治療にも適用可能です!

インビザラインは透明なマウスピース型矯正装置です。矯正中という事が気付かれにくく、口元を気にせず笑顔を見せることができます。

通常のワイヤー矯正の場合、24時間矯正器具が歯に装着されていますが、マウスピース矯正は歯磨きや食事中には取り外し可能です。

ワイヤー矯正に比べ、インビザラインは歯医者への通院回数が少なく、普段お忙しい方にもお勧めできる矯正治療です。

小児矯正に特化したインビザラインもございます。違和感が少なく、取り外しが可能なのでお子様にも快適に矯正治療がスタートできます。

普段の歯磨きの時はインビザラインを取り外しできるので適切なブラッシング可能。矯正中のお口のトラブル、虫歯や歯周病も予防できます。

最先端テクノロジーを用いて数ミリ単位で歯を動かします。ワイヤー矯正に比べ歯を動かす際の違和感や痛みが少ないと言われる患者様が多いです。



矯正治療を専門に行う歯科医師が、診断-計画-治療-ケアまでを一貫して対応しております。
当院の矯正治療は、独自の矯正症例数を満たした矯正歯科を専門に行う歯科医師が、検査からアフターケアまでを担当します。
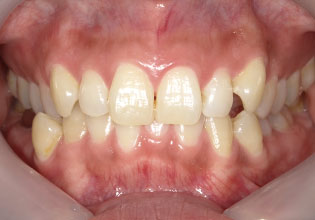
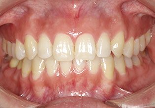
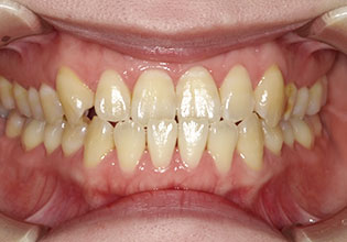
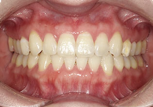
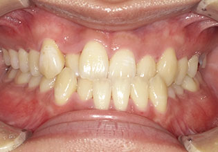
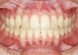
矯正治療は決して審美的なメリットだけではなく、食べ物をよく噛める咬合力や、清掃性に関する機能面にも多くのメリットがあります。
口腔内スキャナー『iTero』を導入。コンピューターによる精密なシミュレーション、シリコンでの型取りが苦手な方も短時間で精密なスキャンができます!

Orthodontist Doctor


医院独自で実施している分割方法で、ネックになる金利・手数料が無料です。

歯科治療特化型のローンで、WEBによる簡単審査で最長84回の分割が可能です。

クレジットカード決済が可能なので、お持ちのカードに準じた分割方法が可能です。








〒652-0898
兵庫県神戸市兵庫区駅前通1-2-1
アルバビル3・4F


