








国際口腔インプラント学会 認定医など、様々な資格を有するインプラントスペシャリストが治療を担当します世界基準のインプラント治療をご提供いたします。


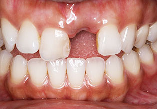
当院では、難症例のインプラント治療においても対応可能なケースが多くあります。顎の骨が少なくてインプラント治療を断られたケースや、欠損歯治療で入れ歯やブリッジを勧められるケースでも、安心してご相談ください。
当院では、インプラントのスペシャリストに加えて、一般歯科を中心に治療を行う歯科医師や、口腔外科、矯正歯科などそれぞれの分野を持つ歯科医師が在籍しています。インプラント治療中に必要な治療が同じ院内で可能です。


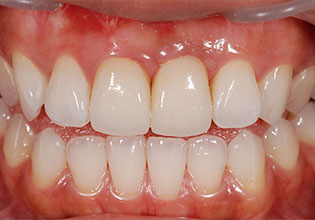
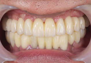
インプラントの症例数に基づいた、10年以上の長期保存を目指したインプラント治療を患者さまにお約束します。無理な治療や、その場しのぎの歯科治療は行いません。長く安心して噛める歯を目的とした治療をご提供します。


ストローマンは10年後に脱離した割合が0.5%と非常に低い、長持ちできるインプラントであるということを示しています。

独自の表面性状により特に骨との結合スピードが速く、治癒期間が短くなる点にあります。

脱離リスクが高まる、骨とインプラントが定着する二次固定までの期間を早めることで、脱離のリスクを軽減。



Implant Doctor


医院独自で実施している分割方法で、ネックになる金利・手数料が無料です。

歯科治療特化型のローンで、WEBによる簡単審査で最長84回の分割が可能です。

クレジットカード決済が可能なので、お持ちのカードに準じた分割方法が可能です。

骨造成とは、インプラント体を埋入する際、顎の骨が足りない場合に「骨を造る」処置のことです。歯周病などで骨が溶けたりしている場合、骨造成によってインプラントを支える土台になる骨を再生させます。インプラント治療においては顎の骨の状態が何より重要となります。






〒652-0898
兵庫県神戸市兵庫区駅前通1-2-1
アルバビル3・4F


